
Лекция+Практика
Базовый уровень
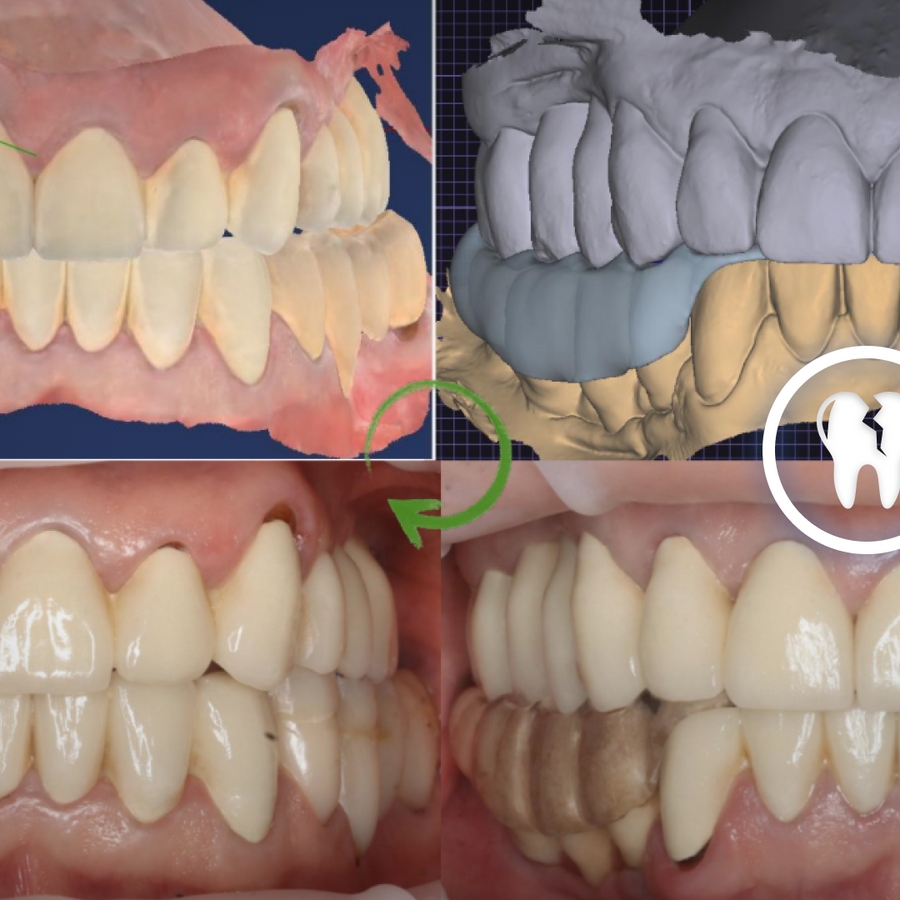
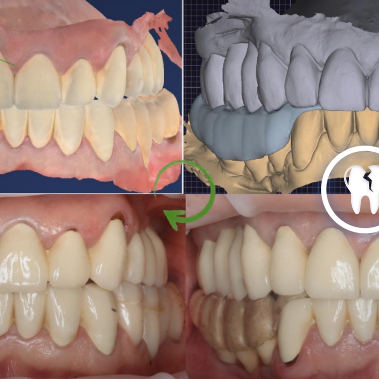
Сравнение ортопедического и ортодонтического подхода к реабилитации пациентов с дВНЧС
39 500 ₽
на сумму 13 500 ₽
Подарки от партнеров
Адрес проведения
Дата проведения (местное время)
06.12.2025, 10:00 ‑ 07.12.2025, 18:00
Сертификат
Питание
Практика
Лекция+Практика
Базовый уровень
Сравнение ортопедического и ортодонтического подхода к реабилитации пациентов с дВНЧС
39 500 ₽
на сумму 13 500 ₽
Отзывы
Симаньков Дмитрий Сергеевич
29.06.2025, 19:54
Отличный курс. Рекомендую всем кто хочет начать разбираться с дВНЧС. Максим Игоревич очень открытый и приятный лектор. Полезные раздаточные материалы в виде программ для просмотра мрт и кт, а также обучение их использованию в клинической практике.
Туркин Максим Игоревич - Введение в гнатологию анатомо-функциональный анализ при выявлении симптоматики или тотальном протезировании


